
All of our pups are sold on limited AKC registraion unless previously discussed and agreed upon in writing. We take pride in the puppies we produce and do not give out breeding rights on our puppies unless to a show or competition home and/or after all appropriate health clearances have been obtained. We all love our dogs but not every dog is meant to or should be bred and we beleive in responsible breeding.

Our contract includes a spay/neuter agreement for your pup unless discussed previously. We require pups to be spayed/neutered no sooner than 12 months of age (preferable 18 months at the earliest) and no later than 2 years of age. It has been shown that hormones play an important role in bone and joint developement.

Our current pet puppy price is $2500 which does include a $200 deposit which can be placed only once we have confirmed we have a puppy for you. We do this for several reasons which include the unpredictability of Mother Nature. Until pups are born and through the first crucial couple of weeks we cannot guarantee any availability. We typically start confirming puppy availablity at around 4 weeks of age.

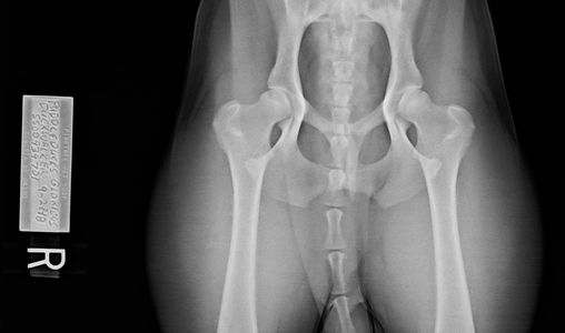
All of our breeding dogs have been fully tested for both genetic and orthopedic clearances prior to breeding. Some of the testing we preform are Hips, Elbows, cardiac and patella exams preformed by a veterinarian and submitted to the OFA foundation for grading.
We also test our dogs for labrador associated disorders such as EIC, CNM, PRA, DM and HNPK. This gives us the best information when choosing our breeding dogs and bitches.
Health for your labrador puppy does also include environmental factors as well, while we have done everything on our part there is still potential for dogs to develop dysplasia if not cared for properly. This includes limiting excessive exercise and jumping in young dogs. maintaining an appropriate weight and holding off until at least 12 months but preferable 24 months before spaying or neutering your pup.
These are all important pieces in guaranteeing you have a long healthy life with your dog, however it is still possible for ll thing to be done correctly and to still develop signs of dysplsia. If it is shown puppy has been of proper weight and nutrition without excessive exercise and/or jumping/repetitive movements causing strain on his or her joints x rays and a letter from your vet are to be provided to us and x rays are to be submitted to OFA for evaluation. Our full guarantee is available in our contract upon request.